Chuť a zuby: Jak zdraví zuby ovlivňují vaši chuť k jídlu

Chuť je něco, co si většina lidí neuvědomuje, dokud ji neztratí. A přitom chuť, schopnost vnímat chutě jídla prostřednictvím chutných pohárků na jazyku úzce souvisí s vašimi zuby, strukturami, které zpracovávají potravu a podporují správné čichové a chutné vnímání. Když máte kaz, zánět dásní nebo ztracený zub, vaše tělo to zaznamená – a vaše chuť k jídlu se změní. Nejde jen o to, že jídlo bolejí. Jde o to, že vaše chutné pohárky nejsou schopné pracovat správně, když je váš ústní prostředí poškozené.

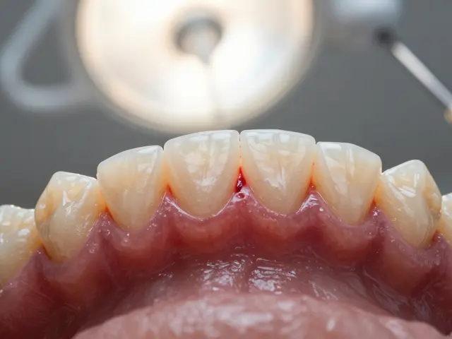
Co když vám někdo řekne, že jste přestali cítit sladké? Nebo že všechno chutná jak šedá hlína? To není jen náhoda. Pokud máte zubní kámen pod dásní, černý plak nebo zánět, vaše jazyk je vystaven škodlivým bakteriím a jejich toxínům. Ty mohou překrývat chutné pohárky nebo je poškozovat. A když se vám zuby pohybují nebo ztrácíte zuby, vaše jazyk se nemůže správně přizpůsobit – jídlo se nevymačká stejně, nevznikají potřebné chutné signály. To je důvod, proč lidé po odstranění zubních můstků nebo po nasazení protéz často říkají, že jídlo chutná jinak. Nejsou to jen psychologické změny. Je to fyzická změna v tom, jak vaše tělo zpracovává chuť.

Nejde jen o to, že si musíte dát pozor na kazy. Je to o celém systému: jak čistíte mezery, jak často chodíte k zubaři, jakým způsobem se staráte o dásně. Když máte zdravé zuby a dásně, vaše chuť je plná, jasná, živá. Když je vaše ústní hygiena na hračce, vaše chuť k jídlu se ztrácí – postupně, ale jistě. A to je to, co vás může stát nejen radost z jídla, ale i zdraví celého těla. V našich článcích najdete vše, co potřebujete vědět: jak kaz mezi zuby ovlivňuje chuť, proč černý zubní kámen mění chuť jídla, jak snímací rovnátka ovlivňují vaše jídelníčky, nebo jak bělení zubů může dočasně ovlivnit vnímání chutí. Všechno to je propojené. A všechno to se týká vás – a vaší každodenní chuť k jídlu.