Odhad efektu léčby tetracyklinových zubů
Zjistěte, jaký výsledek můžete očekávat z bezchirurgické léčby tetracyklinových zubů na základě stupně zbarvení a dalších faktorů. Výsledky jsou odhadovány na základě zkušeností z praxe a studií.
Odhadované snížení tmavých pruhů: 0%
Odhadovaný čas léčby: 0 týdnů
Odhadovaný počet návštěv: 0
Tento nástroj poskytuje obecný odhad. Přesný výsledek závisí na individuálních vlastnostech zubů a schopnosti dentista.
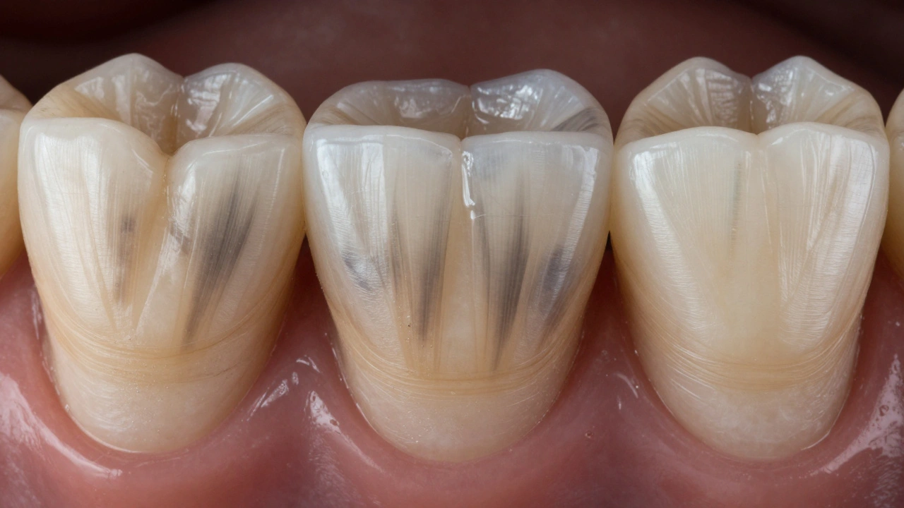
Tetracyklinové zuby nejsou jen estetický problém - jsou to trvalé změny ve struktuře zubní skloviny, které vznikly už v dětství, když byl organismus vystaven tetracyklinovým antibiotikům. Tyto zuby mají šedé, hnědé nebo pruhované odstíny, které neodpovídají běžným zubním zbarvením. Mnoho lidí si myslí, že jediným řešením jsou korunky nebo vložky, ale to není pravda. Existují efektivní bezchirurgické metody, které mohou výrazně zlepšit vzhled zubů bez nutnosti stávání zubů na pilu.
Proč vznikají tetracyklinové zuby?
Tetracyklinové zuby vznikají, když se tetracyklinová antibiotika - například tetracyklin, doxycyklin nebo minocyklin - podávají dětem do věku 8 let, kdy se zubní sklovina ještě formuje. Tyto látky se vážou na vápník ve vytvářejících se zubech a vytvářejí trvalé komplexy, které se projevují jako zbarvení. Čím dříve se antibiotikum podávalo a čím déle se užívalo, tím intenzivnější je zbarvení. Někdy se projevuje jen jako lehký šedý odstín, jindy jako tmavě hnědé pruhy, které jdou až do hloubky zubu.
Nejčastější příčiny: podání tetracyklinu dětem s chronickými infekcemi, jako jsou akné, záněty dýchacích cest nebo zubní infekce. V 70. a 80. letech bylo toto antibiotikum běžně podáváno i dětem, a proto je dnes mnoho lidí ve věku 35-60 let s tímto problémem.
Proč nejsou běžné bílící metody účinné?
Domácí bílící pasty, gelové proužky nebo i profesionální bílící v klinice - většinou nefungují na tetracyklinové zuby. Proč? Protože pigmentace není na povrchu, ale v hloubce skloviny. Běžné bílící přípravky s peroxidem vodíku nebo karbamidem působí na povrchové pigmenty, jako je káva, čaj nebo kouření. Ale tetracyklin se váže k minerálům ve sklovine a vytváří chemickou vazbu, kterou běžné bílící látky prostě nedokážou rozložit.
Studie z Journal of Esthetic and Restorative Dentistry (2023) ukázaly, že u 82 % pacientů s tetracyklinovým zbarvením nebylo dosaženo uspokojivého výsledku ani po třech sériích profesionálního bílícího. Výsledkem bylo jen mírné osvětlení, ale ne odstranění tmavých pruhů.
Bezchirurgické řešení: Kombinované bílící a mikroabrazivní techniky
Nejúčinnější bezchirurgická metoda kombinuje tři kroky: profesionální bílící, mikroabrazivní odstranění povrchu a vyplnění mikrotrhlin.
- Profesionální bílící s vyšší koncentrací - v klinice se používá peroxid vodíku ve výši 25-35 %, aplikovaný v několika sériích s 7-10 dny pauzou. Tento postup neodstraní barvu, ale připraví sklovinu k dalšímu kroku - zjemní povrch a otevře mikrotrhliny, kde se následně vstřebává další látka.
- Mikroabrazivní odstranění - používá se směs křemíkového písku a fluoridu ve velmi jemném zrnění (5-10 mikrometrů). Tato směs se aplikuje na zuby pomocí speciálního zařízení, které odstraní pouze 0,1-0,3 mm povrchu skloviny. Je to jako jemné brusení, které odstraní nejtmavší vrstvu pigmentu bez poškození zubu. Není to jako základní závěs - neodstraníte žádný zubní materiál, který by ohrozil zubní strukturu.
- Vyplnění mikrotrhlin fluoridem a remineralizací - po odstranění povrchu se aplikuje koncentrovaný gel s hydroxapatitem a fluoridem. Tento gel se vstřebává do mikrotrhlin a znovu zpevňuje sklovinu. Výsledkem je nejen světlejší barva, ale i silnější povrch zubu.
Tento postup trvá 4-6 týdnů a vyžaduje 3-4 návštěvy. Většina pacientů vidí výrazný pokrok - tmavé pruhy se ztenčí o 60-80 %, zuby získají přirozenější, světlejší odstín. Není to stejné jako „bílé zuby z reklamy“, ale je to přirozené, trvalé a bez rizika poškození zubu.
Co se nestane: žádné korunky, žádné vložky
Mnoho zubních lékařů navrhuje korunky nebo kompozitní vložky jako „řešení“. To je ale zbytečné a zdravotně nebezpečné. Korunky znamenají, že musíte zubu odstranit 1,5-2 mm zubní hmoty - to je jako odříznout část zubu, která byla vždy zdravá. Kompozitní vložky se po pěti letech začínají žloutnout, štěrbit a potřebují opakované výměny.
Bezchirurgická metoda zachovává vaše původní zuby. Není to jen estetický výběr - je to i zdravotní. Zuby, které jste měli od dětství, mají přirozenou strukturu, kterou žádná korunka nezopakuje. A pokud se někdy v budoucnu objeví kámen nebo jiný problém, můžete ho řešit bez toho, že byste měli už zub „zničený“ korunkou.
Co je důležité vědět před začátkem léčby
- Není to okamžitý efekt - tetracyklinové zuby se neodstraní za jednu návštěvu. Potřebujete trpělivost a pravidelnost. Nejlepší výsledky vidíte až po třetí návštěvě.
- Není vhodné pro všechny - pokud máte velmi hluboké pruhy, které sahají až k důlní hraně zubu, může být nutná kombinace s tenkými kompozitními vložkami na vrcholku zubu. Ale i v tomto případě nejsou potřeba celé korunky.
- Nezapomeňte na domácí péči - po léčbě se vyhněte kávě, červenému vínů a kouření alespoň 48 hodin. Používejte zubní pastu s hydroxapatitem, která pomáhá udržet výsledek.
- Nejde o „bílé zuby“ - cílem není dosáhnout zářivě bílé barvy, ale přirozeného, jemně světlejšího odstínu, který se přirozeně vyrovná s ostatními zuby. Příliš bílé zuby vypadají nepravděpodobně a mohou být vidět jako „umělé“.
Kdo by měl hledat tuto léčbu?
Tato metoda je ideální pro:
- Lidi ve věku 25-55 let, kteří mají tetracyklinové zuby od dětství
- Ty, kteří se nechtějí vzdát svých původních zubů
- Osoby, které se bojí chirurgických zákroků nebo dlouhodobého léčení
- Lidi, kteří chtějí přirozený vzhled - ne „bílé zuby z reklamy“
Není vhodná pro děti, které mají ještě mléčné zuby, nebo pro lidi s velmi tenkou sklovinou z důvodu jiného onemocnění. V těchto případech je nutná individuální konsultace.
Co se stane, když to necháte být?
Necháníte-li tetracyklinové zuby bez úpravy, neznamená to, že se zhorší. Zuby nebudou ničit, nebudou se rozpadat. Ale estetický problém zůstane - a s věkem se může zhoršit. S věkem se sklovina přirozeně ztenčuje, což způsobuje, že tmavé zbarvení z podložky bude vypadat ještě tmavěji. Zároveň se může objevit další zbarvení od kávy, čaje nebo kouření, které se přidá k existujícímu problému a vytvoří ještě nehezčí kombinaci.
Nejhorší je, že mnoho lidí se kvůli tomuto problému vyhýbá smíchu, fotkám nebo sociálním situacím. A to je ten skutečný náklad - ne estetický, ale psychologický.
Co říkají pacienti po léčbě?
„Měl jsem tetracyklinové zuby od dětství. Vždy jsem se vyhýbal fotkám. Po třech návštěvách jsem si pořídil první selfie za 15 let. A nebyl to jen obraz - byl to pocit, že jsem konečně mohl být sám sebou.“ - Petr, 42, Ostrava
„Přemýšlel jsem o korunkách, ale lékař mi ukázal, že můžu zachovat zuby. Dnes mám zuby, které vypadají přirozeně - a ne jako „plastové“.“ - Martina, 38, Brno
Co dělat dál?
Pokud máte tetracyklinové zuby a chcete zkusit bezchirurgickou léčbu:
- Navštivte zubního lékaře, který se specializuje na estetickou stomatologii - ne každý zná tuto metodu.
- Požádejte o přehled výsledků u jiných pacientů s podobným zbarvením.
- Nechte si vysvětlit, jaká konkrétní technika bude použita - ne jen „bílící“.
- Zeptejte se na záruku výsledku - dobré kliniky nabízejí 6-12 měsíců po léčbě zdarma doplnění, pokud není dosaženo očekávaného efektu.
Tetracyklinové zuby nejsou osud. Nejsou to zuby, které musíte „zlikvidovat“. Jsou to zuby, které můžete zlepšit - bez nůžů, bez základních zákroků, bez ztráty vlastních zubů. Stačí vědět, jak a kde hledat správnou pomoc.
Můžu tetracyklinové zuby bělit domácími přípravky?
Ne. Domácí bílící pasty, gelové proužky nebo domácí směsi s peroxidem vodíku neodstraní pigmentaci, která je v hloubce zubní skloviny. Mohou způsobit podráždění dásní nebo zvýšit citlivost, ale nezmění barvu tetracyklinových zubů. Je to jako čistit špínu z betonu běžným mýdlem - nepomůže.
Je tetracyklinové zbarvení dědičné?
Ne. Tetracyklinové zuby nejsou dědičné. Vznikají pouze tehdy, když se dítě v období tvorby zubů (do 8 let) vystaví tetracyklinovým antibiotikům. Pokud jste měli tetracyklinové zuby, vaše děti je nemají jen proto, že jste je měl vy. Děti mohou mít podobné zbarvení pouze tehdy, když jim budou podávána stejná antibiotika ve stejném věku.
Může se zbarvení zhoršit s věkem?
Ano. S věkem se zubní sklovina přirozeně ztenčuje, což způsobuje, že tmavý pigment z podložky bude vypadat intenzivněji. Zároveň se může přidat další zbarvení od kávy, čaje nebo kouření. Výsledkem je tmavší a nehezčí kombinace. To je důvod, proč je lepší léčit to dřív, než později.
Jak dlouho trvá efekt léčby?
Výsledek je trvalý, pokud dodržíte doporučenou péči. Po léčbě je důležité se vyhýbat silně barvícím látkám a používat zubní pastu s hydroxapatitem. Pokud se držíte těchto pravidel, výsledek může vydržet 5-10 let. Po té době může být nutná jen malá údržba - jedna návštěva kliniky pro „přebílění“.
Je tato léčba hrazena zdravotním pojištěním?
Ne. Tetracyklinové zuby jsou považovány za estetický problém, ne za onemocnění. Proto není léčba hrazena zdravotním pojištěním. Některé kliniky nabízejí splátkové systémy nebo slevy pro více zubů. Je vždy dobré se zeptat na možnosti financování.