- od Andrea Novotná
- úno 2 2026
Zubní kámen: Jak ho odstranit a jak se mu vyhnout
Zubní kámen se neodstraní doma - jen u zubaře. Zjistěte, jak se mu vyhnout, proč je nebezpečný a jak často byste měli jít na kontrolu. Prevence je klíč k zdravým zubům.
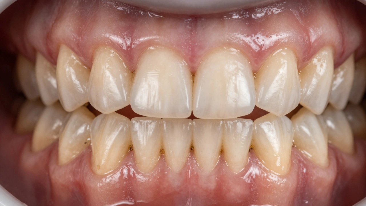
Už vás nebaví, že po čištění zůstane na zubech bílá šedivá skvrna? To je zubní kámen a pokud ho neodstraníte, může způsobit vážnější problémy. V tomhle článku vám ukážeme, proč je důležité se s kamenem vypořádat a jak na to jednoduše doma i v praxi u zubaře.
Když se plak neodstraní, během pár dní ztvrdne a změní barvu. Tenhle tvrdý nános už není možné odstranit běžným kartáčkem – potřebuje profesionální nástroje nebo speciální domácí techniky. Kámen dráždí dásně, vede k jejich zanícení (gingivitida) a může se rozvinout paradentóza, což je ztráta kostní podpory kolem zubu.
Navíc se na kameni usazují bakterie, které produkují kyseliny a poškozují sklovinu. To znamená vyšší riziko kazu i nepříjemného dechu. Pravidelným odstraňováním kamene si zachováte čistý úsměv a ušetříte peníze za drahé ošetření později.
Domácí péče: Nejprve investujte do dobrého elektrického kartáčku s ultrazvukovým nebo sonickým režimem. Tyto přístroje rozbijí plak už pod dásní a usnadňují jeho odstranění. Používejte zubní pastu s fluoridem a občas doplňte čistící hřebínky, které pomáhají vyčistit mezizubní prostory.
Floss (zápěstka) nebo mezizubní kartáčky používáte alespoň jednou denně. To zabraňuje tvorbě nového kamene mezi zuby, kde kartáček nedosahuje. Pokud máte problémy s dásněmi, zkuste ústní vodu s chlorhexidinem – pomůže snížit bakterie a mírně změkčit nánosy.
Profesionální ošetření: Navštěvujte zubaře každých šest až osm týdnů na preventivní scaling (odstranění kamene). Lékař používá ultrazvukové sondy a ruční nástroje, které dokážou odstranit i ten nejtvrdší kámen bez poškození skloviny.
Při první návštěvě můžete požádat o kontrolu dásní. Pokud jsou zanícené, zubař může doporučit lokální antibiotika nebo speciální pasty, které pomohou hojení. Po zákroku nezapomeňte na domácí údržbu – čistěte si zuby dvakrát denně a pravidelně doplňujte mezizubní čištění.
Jedna z nejčastějších chyb je podceňovat výživu. Omezte sladké nápoje, tvrdé cukrovinky a červené víno – všechny tyto potraviny podporují tvorbu kamene. Naopak zařaďte do jídelníčku syrovou zeleninu, ovoce a mléčné výrobky s vápníkem, které posilují zuby.
Zapamatujte si: pravidelný úklid doma + kontrola u odborníka = zdravé dásně a bez kamene. Zkuste teď nastavit připomínku na telefon a udělejte první krok k čistému úsměvu ještě dnes.
Zubní kámen se neodstraní doma - jen u zubaře. Zjistěte, jak se mu vyhnout, proč je nebezpečný a jak často byste měli jít na kontrolu. Prevence je klíč k zdravým zubům.
Zubní kámen se neodstraní doma - jen zubní lékař ho může bezpečně odstranit. Naučte se, proč je to důležité, jak probíhá čištění a jak předcházet jeho opakování.
Černý zubní kámen je nebezpečný nános na zubech, který může vést k ztrátě zubů a zánětům. Zjistěte, co ho způsobuje, jak ho odstranit a jak mu předcházet.
Zubní kámen pod dásní je skrytý problém, který může vést ke ztrátě zubů. Zjistěte, jak ho odstranit, jak se mu vyhnout a proč ho nesmíte ignorovat.
Zubní kámen se neodstraní jen čištěním. Změkčení doma pomocí bicarbnátu, fluoridu a správné hygieny způsobí, že ho zubař odstraní snadněji a bez bolesti. Nejlepší je prevence.
Zubní kámen pod dásní se neodstraní doma. Zjistěte, jak ho profesionálně odstranit, jak předcházet jeho návratu a proč ho ignorovat je riziko ztráty zubů.
Zubní kámen u psů je běžný, ale nebezpečný problém, který může vést k infekcím a poškození vnitřních orgánů. Zjistěte, jak ho odstranit bezpečně a jak předcházet jeho vzniku.
Zjistěte, co je zubní kámen pod dásní, jak jej bezpečně odstranit u zubaře i doma a jak předcházet jeho návratu, aby byl váš úsměv zdravý a krásný.